*Штучний інтелект надає попередній розрахунок. Точна вартість визначається лікарем.
Table of Contents
ToggleКлініка «Ваша Усмішка» у Пустомитах пропонує естетичне протезування зубів — вініри E-max, цирконієві та металокерамічні коронки, мостоподібні протези та цифровий дизайн усмішки. Ми відновлюємо зовнішній вигляд зубів з мінімальним обточуванням, використовуючи сучасні матеріали та цифрові технології. Результат бачите ще до початку лікування — завдяки комп'ютерному моделюванню та Mock-up примірці.
Вініри · Коронки · Цифровий дизайн усмішки
Матеріали E-max та цирконій · На 30–40% дешевше за Львів
Від мінімально інвазивних вінірів до повного протезування — підберемо оптимальний варіант
Тонкі керамічні накладки, що виправляють колір, форму та положення зубів. Мінімальне обточування — лише 0.3–0.5 мм.
Повністю білий, надміцний матеріал. Ідеально імітує прозорість натурального зуба, не викликає реакцій ясен.
Перевірене десятиліттями рішення для жувальних зубів. Металевий каркас з керамічним покриттям.
Сучасні легкі протези для відновлення функції жування. Надійно тримаються, не натирають.
Бачите результат до початку лікування. Комп'ютерне моделювання та примірка прототипу прямо у роті.
Відновлення відсутніх зубів з опорою на сусідні. Цирконій або металокераміка.
Естетика рівня елітних клінік Львова — за цінами Пустомит
Без неприємної зліпочної маси. Цифровий сканер для ідеальної точності коронок.
Оригінальна кераміка E-max та діоксид цирконію. Жодного металу, що окислюється.
Завдяки цифровій лабораторії виготовляємо коронку або вінір у найкоротші терміни.
На 30–40% дешевше за клініки центру Львова. Безкоштовна парковка, 15 хв від міста.
Вініри та коронки у Пустомитах — це доступна альтернатива дорогим естетичним клінікам Львова. Клініка «Ваша Усмішка» приймає пацієнтів із Пустомит, Сокільників, Давидова, Щирця, Городка та інших районів Львівщини. Наші протетисти працюють з матеріалами E-max та цирконієм, які використовують провідні клініки Європи. Ми застосовуємо концепцію мінімальної інвазивності — зберігаємо максимум живої тканини зуба. Цифровий відбиток замість неприємної маси, Mock-up примірка та фотопротокол — все для того, щоб результат перевершив очікування.
Чотири кроки від консультації до готового результату
Фотопротокол та комп'ютерне моделювання форми зубів. Бачите результат до початку.
Примірка прототипу прямо у роті. Коригуємо форму та колір разом з вами.
Мінімально інвазивна обробка. Цифровий відбиток — без неприємної маси.
Надійна фіксація готових вінірів або коронок. Ваша усмішка готова!
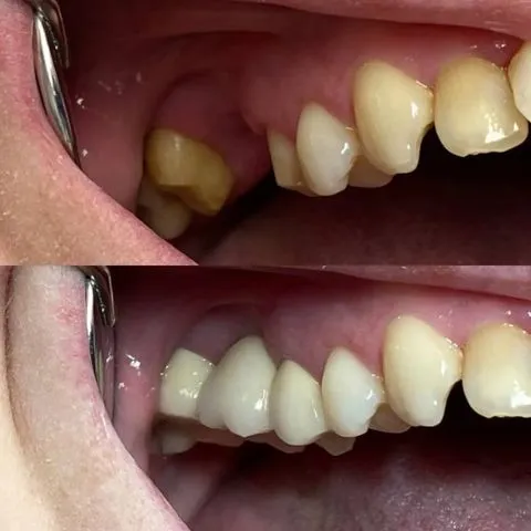
Реальні результати — природна естетика без штучності






Шукаєте вініри або коронки поблизу Львова за розумною ціною? Клініка «Ваша Усмішка» у Пустомитах — це естетична стоматологія з матеріалами E-max та цирконій, які служать десятиліттями. Ми поєднуємо цифрові технології, досвідчених протетистів та доступні ціни — на 30–40% нижчі за клініки центру Львова. Безкоштовна парковка, 15 хвилин від Сихова та центру міста. Запишіться на безкоштовну консультацію — і вже на першому візиті побачите, якою буде ваша нова усмішка.
Безкоштовна консультація — побачите результат ще до початку лікування